Specialisti in implantologia e chirurgia a Viareggio
Nello studio dentistico del Dr. Lanni Daniele a Viareggio operano specialisti in chirurgia (apicectomia, estrazione di molari, etc) ed implantologia endossea, nonché di endodonzia, chirurgia pre-protesica, ortodonzia,gnatologia, protesi fissa, chirurgia orale, odontoiatria e ortodonzia infantile, pedodonzia, chirurgia parodontale e parodontologia.
Chirurgia orale e impianti
Lo studio si occupa dell'applicazione di impianti dentali su misura, risolvendo ogni necessità derivante dall'edentulia completa o parziale.
Gli impianti scelti dal Dr. Lanni a Viareggio sono realizzati in titanio o titanio-zirconio, materiali particolarmente tollerati dall'organismo umano che, una volta inseriti nell'osso mascellare, sostituiscono la radice del dente naturale.
L'inserimento dell'impianto può tranquillamente avvenire in anestesia locale a livello ambulatoriale. Successivamente sarà possibile fissare corone singole, ponti a più elementi o protesi totali.
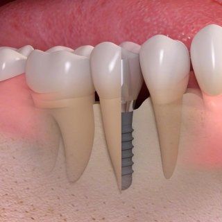
Le soluzioni implantari: sostituzione di dente singolo
Quando a mancare è un solo dente con la sua radice, è necessario intervenire con l'applicazione di una corona sull'impianto dentale per avere buoni risultati non solo funzionali, ma anche estetici.
L'applicazione di un impianto dentale singolo permette di non limare i denti sani adiacenti, lasciandone integre le superfici.

Sostituzione di tutti i denti
Quando la mascella è completamente priva di denti, l'esperto odontoiatra di Viareggio provvede alla sostituzione totale con arcata completa, tramite l'inserimento di diversi impianti fissi nell'osso mascellare.
In alternativa, può utilizzare una protesi mobile, che è possibile rimuovere per facilitare l'igiene orale.
Entrambe le soluzioni sono caratterizzate da stabilità, rimanendo saldamente posizionate in sede, e donano un aspetto naturale al tuo sorriso.
Sostituzione di più denti
Quando mancano uno o più denti, presso lo studio specializzato in chirurgia pre-protesica si interviene con la chiusura degli spazi per motivi clinici e funzionali.
Ciò è possibile applicando un ponte supportato da un impianto. In questo modo la salute dei denti sani viene conservata senza intervenire direttamente su essi, aiutando anche nella conservazione dell'osso mascellare.

La verità sui denti mancanti
Una bocca colpita da edentulia ha difficoltà a masticare con la giusta forza.
Ciò ha diverse conseguenze, anche a livello digestivo, che è possibile prevenire con una giusta terapia implantare.
Sostituendo la radice del dente naturale, l'impianto impedisce il deterioramento graduale dell’osso, la cui perdita può anche modificare la forma del viso.
Confronto tra metodi tradizionali e impianti dentali
Il metodo più utilizzato per sopperire alla mancanza di denti è il ponte, soluzione tradizionale non priva di conseguenze negative, prima di tutte la perdita di parte della superficie naturale del dente.
Grazie all'impianto dentale moderno, invece, è possibile sostituire la radice del dente mancante apportando benefici anche alla masticazione, senza dover limare i denti sani adiacenti, che rimangono integri.











